Skip to main content

Patient Reviews


“I've been going here for over two years and have always had a great experience. This office is very chic and modern. They must have had their patients in mind when building this location. Every room is equipt with a flat screen TV and headset so that you can watch your favorite show while you get your teeth worked on. This really helps make any procedure pass quickly because the last thing anyone wants to hear is the sound of the drill. Another thing I enjoy is that their chairs have little massagers that will help sooth and calm you through your procedure. The receptionist here is very knowledgeable and will take the time to explain what is and isn't covered by your insurance. I love that they have always been punctual. You'll never sit around and wait past your appointment time. Dr. Aaron Breaux is gentle and will make every procedure as close to painless as possible.” - Sandra L.

When you visit THE Smile Lounge, you are our most important patient. Dr. Breaux and our team focus on you, your oral health needs, and your comfort. We appreciate the trust you place in us to help you achieve excellent oral health, and our team works hard to continue to earn that trust every time you visit.

You may have had dental experiences in the past where you felt like you’re just another number on a chart. We can assure you that we always focus on your concerns, and take the time to answer your questions fully. We know that an informed patient is a healthy patient, and we take the time to talk to you about why a specific treatment is important and how it will benefit your oral health.

Crowns & Bridges
A healthy, beautiful smile starts here

Crowns & Bridges | Dentist
Improve your smile today – call to schedule a consultation!
Claim Now!

Crowns & Bridges

At THE Smile Lounge, we offer many solutions for improving and restoring your smile, no matter what dental problem you’re dealing with. With every treatment we offer, our goal is to provide you with exceptional dental care that fits your needs and makes sense for you.

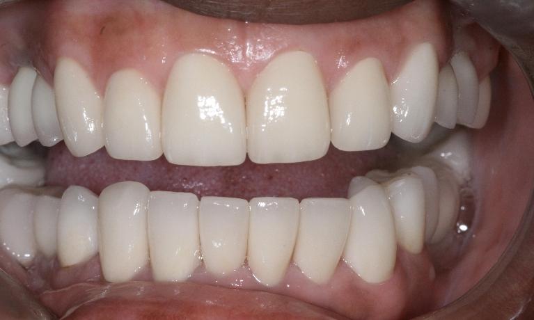
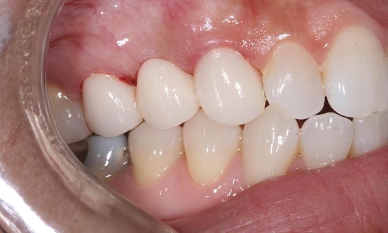
Dr. Aaron Breaux and our team love to see the reaction of our patients after we've restored their damaged smile. Using the most updated techniques and materials, we design beautiful dental crowns and bridges that will boost your self-confidence and give you a reason to smile. 

Dental Crowns Strengthen Teeth

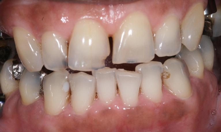
If a tooth is too damaged or decayed to treat with a filling, we may recommend that a dental crown be placed to restore and preserve the tooth. A dental crown is a cap that fits right over the tooth to replace lost structure and restore functionality. The best candidates for crowns are people who have experienced serious dental damage or decay.

Dental crowns are versatile and serve many purposes:

  • Protecting teeth worn by grinding or dental erosion
  • Strengthening a tooth after root canal treatment
  • Restoring dental implants
  • Protecting cracked or fractured teeth

It depends on your individual needs, but the process of placing dental crowns usually takes place over two to three visits. First, we prepare your natural tooth so that your new crown will fit perfectly. Then we’ll take impressions that will be used as a mold for the crown. We'll send the mold to our dental lab, and in about two weeks we'll have you return to our Bakersfield dental office for placement of your permanent crown. The result is a healthier tooth that functions properly and enhances your smile.

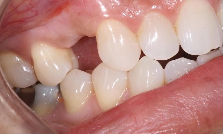
Replace Missing Teeth with Bridges

Missing teeth look unattractive, undermine your self-confidence, and make chewing and speaking a problem. However, a dental bridge restores function, benefits your oral health, and improves your appearance. We often use dental bridges in the following ways:

  • Filling the space left by a missing tooth
  • Preventing surrounding teeth from shifting out of place
  • Providing a permanent alternative to a removable partial denture

A properly designed dental bridge is securely attached to neighboring teeth and is very stable. In certain cases it may be beneficial to use dental implants to add stability.

We Deliver Outstanding Results

We know that having any type of dental restoration placed is a big commitment of time and money for you. Dr. Breaux will explain all your options so you have the information you need to make a decision that suits you best and delivers the results you're looking for. Our goal is to make sure you’re completely happy with the outcome because, with proper care, your new crown or bridge will serve you for many years.

If you’re interested in learning more about our state-of-the-art crowns and bridges, please contact us to arrange a consultation with Dr. Breaux.

Frequently Asked Questions

At THE Smile Lounge, we focus on excellent oral health, but we also understand that looks are important to everyone. All restorative treatments we offer are done with an eye toward esthetics. Our up-to-date materials and techniques make it easy for you to enjoy a smile that’s both healthy and beautiful.

May of the restorative and cosmetic procedures we perform use dental porcelain. You may think of porcelain as being a very delicate material, but dental porcelain is actually quite durable. It stands up to all the normal daily wear and tear, and with proper care, porcelain restorations can last for many years.

Porcelain veneers, crowns, bridges, and tooth-colored composite fillings can all be shaded to closely match the color of your natural teeth. The translucent quality of porcelain is also similar to that of dental enamel, so your new restoration will blend seamlessly with surrounding teeth.

This gives us the freedom to create a customized restoration that is made just for you. Now you can have dental work done without announcing it to the world!

If you’d like to learn more about our natural-looking custom restorations, please give our Bakersfield dental office a call. We’ll be happy to arrange a consultation to discuss the ways our restorative treatments can benefit you.

Meet Our Doctor:

Dr. Aaron Breaux

Dr. Breaux completed his undergraduate education and also earned his Doctor of Dental Surgery degree at the University of Southern California, which is widely known for its clinical excellence. A Los Angeles native, Dr. Breaux chose to make Bakersfield his home and has spent decades helping to improve the smiles and enhance the lives of his patients.

He is an active member of the American Dental Association, California Dental Association, and the Kern County Dental Society. 

Dr. Breaux continually pursues excellence in dentistry by regularly attending seminars, lectures, and workshops. This ...

Getting an appointment is fast and easy!
Get Started!