Dental Cleanings & Exams

Regular dental cleanings and exams are preventative treatments that form a strong foundation for excellent oral health. Following these simple steps now is much easier than facing more costly and involved treatment down the road. Much like annual checkups with your doctor, cleanings and exams at THE Smile Lounge allow us to monitor your oral health on an ongoing basis.
Prevention and Periodontal Disease
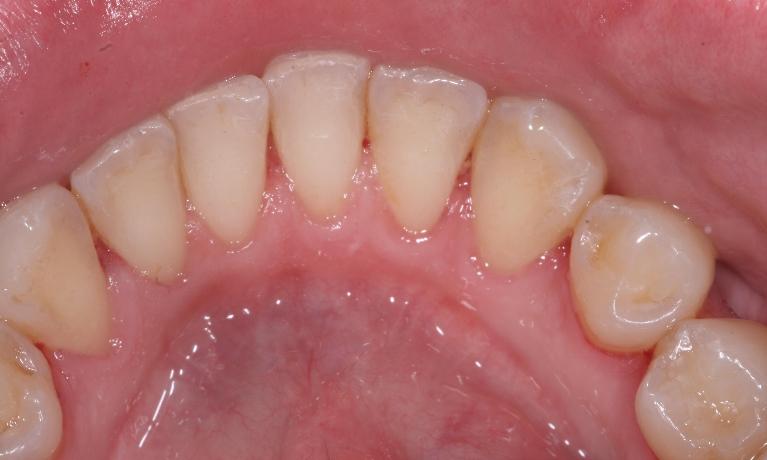
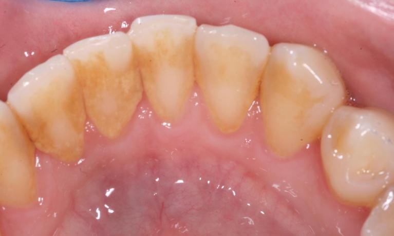
Periodontal disease is a serious problem that affects one out of every two American adults ages 30 and over. It’s a chronic bacterial inflammation that attacks gum tissue and the bone that supports your teeth. If not treated promptly, gum disease can eventually lead to tooth loss and other serious health problems.
As serious as periodontal disease is, it can often be prevented with routine professional dental cleanings and proper at-home oral hygiene practices. Dr. Aaron Breaux and our team have always been strong advocates of prevention as the most effective way to reduce the risk of developing gum disease.
Why Exams & Cleanings Are Important
Routine professional dental cleanings are your best insurance against periodontal disease and other serious oral health issues. You can do a top-notch job of brushing and flossing at home, but you still need routine cleanings with a hygienist to get your teeth as clean as they need to be to stay healthy.
Visual exams are another essential part of your preventative care. Periodic checkups give Dr. Breaux an overall picture of your oral health and allow him to check for signs of periodontal disease. Before beginning the exam, Dr. Breaux will spend time getting to know you, discuss why you came to us, and determine how we can help. Then we’ll review your medical and dental history (you will have already filled out the forms) to make sure we’re up to date.
Our dental assistant will take x-rays and photos to complete your records and give us a clear picture of the current state of your dental health. Digital x-rays provide highly detailed and accurate images that show us problems when they are still minor and easy to fix.
Based on the results of your exam consultation, we’ll develop a personalized maintenance plan for you. This includes the best practices for oral hygiene and steps you can take every day to protect your oral health.
Getting to Know You and Your Needs
We want you to know that we’ll support you in every way we can to help make your time with us pleasant and stress-free. Dr. Breaux and our team have found that a friendly one-on-one approach and genuine concern for your needs can completely change your attitude about dentistry. Getting to know you and understanding your concerns is the only way we can provide the dental treatments that are right for you.
Please Contact Us for an Appointment
We would love the opportunity to get to know you and help you achieve your oral heath goals. Please contact our Bakersfield dental office to make an appointment for your next exam and cleaning.
The only way you can know for sure whether you have gum disease is by having a thorough exam from your dentist. Gum disease does not always present with symptoms, so you may still have a periodontal infection even if you’re not showing signs of the disease.